Children’s Dentistry – Pedodontia
Pit & Fissure Sealants
These are fillings bonded to the biting surfaces of young permanent teeth to prevent decay and helps in majority of children and a good preventive procedure.
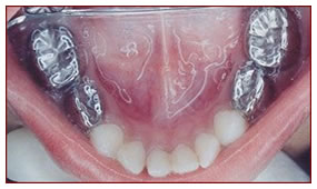
Pulpotomy ,Pulpectomy & SS Crown
All severely damaged milk teeth are saved by this procedure wherein the decayed living tissue is removed and filled with restorative material.
The teeth that are saved by this method is further strengthened by capping with metal crowns.
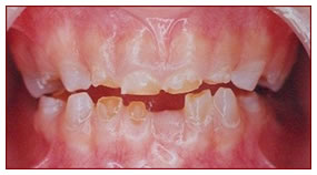
Composite Filling
Teeth affected by decay or trauma are restored with tooth coloured composite material.
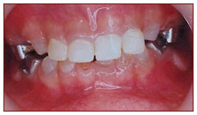
Composite Filling with Strip Crown
Space Maintainer
The milk teeth guide the permanent set of teeth to erupt in a proper direction. In case of early loss of these teeth by decay or trauma, the space has to be preserved by space maintainers thereby directing the erupting permanent teeth to their normal position.
Habit Breaking Appliance
Oral habits such as thumb sucking, mouth breathing, lip biting cause malalignment of teeth.This can be intervened by habit breaking appliances.
Fluoride Application
Regular application of Flouride agents make tooth structure stronger and prevent tooth decay to a great extent.It is usually done once in 6 months.





